Wiele osób boryka się z problemem opuchniętych i bolących stóp. Najczęściej wynika to z kontuzji, ciąży lub zbyt długiego chodzenia i stania. Czasami złe obuwie również może powodować problem ze stopami. Czasami jednak powodem problemów może być groźna choroba, dlatego warto poznać niektóre schorzenia, które dają taki objaw. Jeśli zachodzi taka potrzeba warto skonsultować swoje problemy z lekarzem.
Przyczyna 1: Zakrzepica żył głębokich
To stan w którym powstaje zakrzep w układzie żył głębokich, najczęściej nóg. Choroba ta ma często poważne następstwa, istotne jest więc pilne rozpoznanie i leczenie tego schorzenia.
Jednym z objawów są właśnie opuchnięcie stóp. Dlatego jeśli podejrzewasz u siebie zakrzepicę żył głębokich bardzo ważne jest szybkie skonsultowanie tego z lekarzem.
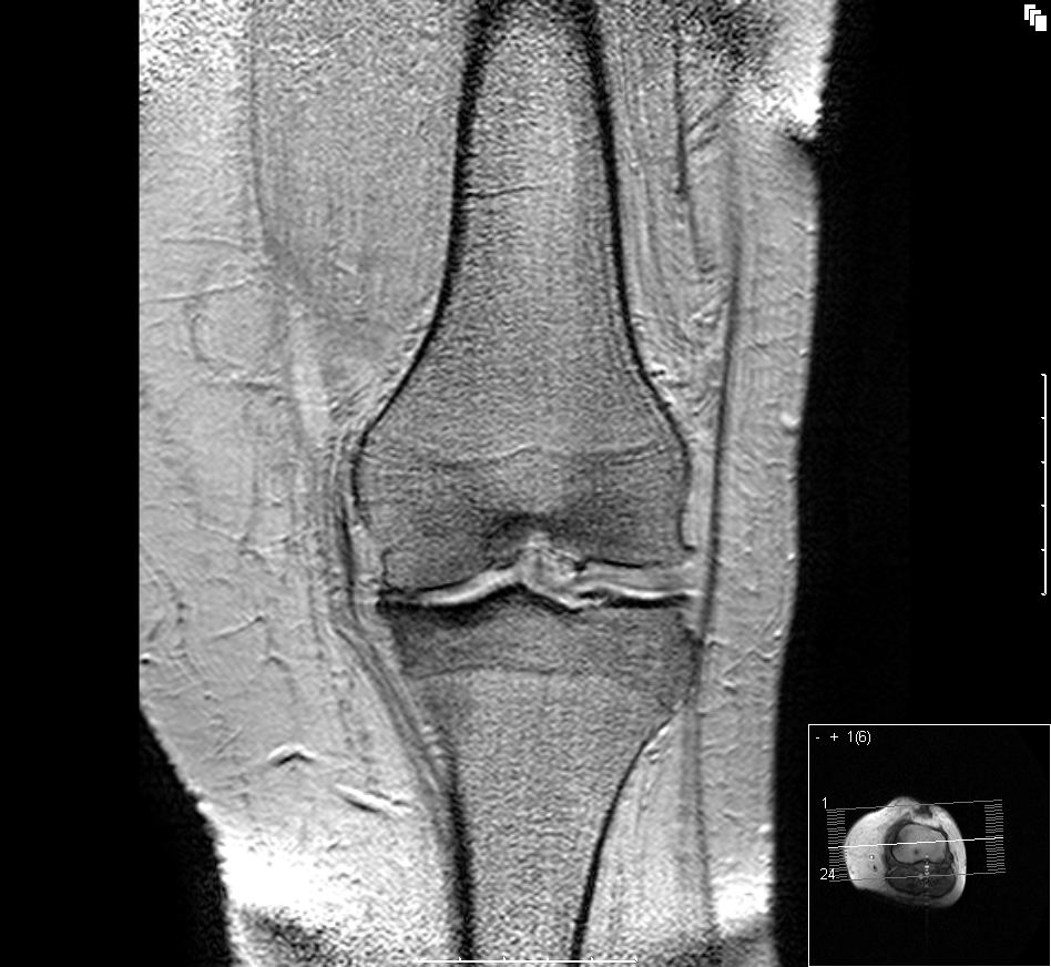
Przyczyna 2: Zapalenie ścięgna Achillesa
Często zapalenie ścięgna może powodować opuchnięcie okolicznych stawów. Charakterystyczne jest to, że opuchnięcie pogarsza się po wysiłku fizycznym.

Przyczyna 3: Choroba zwyrodnieniowa stawów
Jest często związana z procesami starzenia zachodzącymi w stawach. Jednym z jej objawów są właśnie opuchnięte stopy jak i również ból w okolicy dotkniętego stawu.

Przyczyna 4: Niewydolność serca.
Czasami jednym z objawów niewydolności prawej komory serca mogą być obrzęki nóg i opuchnięte stopy. Krew nie jest odpowiednio szybko odprowadzana i dlatego nogi puchną.
Przyczyna 5: Obrzęk limfatyczny.
Jest to stan, w którym dochodzi do zastoju chłonki. Towarzyszy mu często stan zapalny.
Przyczyna 6:
Zapalenie tkanki łącznej (łac. cellulitis)
Jest to choroba skóry wywołana przez infekcje bakteryjną. Często występuje po wcześniejszym zranieniu lub poparzeniu. Nie należy mylić z cellulitem który jest potocznym terminem z zakresu kosmetyki. Głównym objawem jest zaczerwienienie skóry oraz ból. Zainfekowane kończyny często również są opuchnięte.
Przyczyna 7: Dna moczanowa
Przyczyną tej choroby jest nieprawidłowy poziom kwasu moczowego we krwi który krystalizuje w tkankach. Choroba ma charakter przewlekły i często prowadzi do nawracających stanów zapalnych. Często zaczyna się od okolicy dużego palca u stopy


Comments